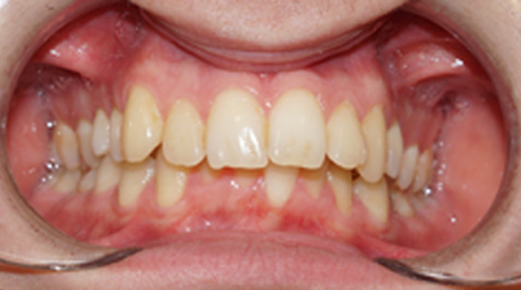
Металлические лигатурные брекет системы Mini diamond (Ormco США)
Когда речь заходит о создании идеальной улыбки, лигатурные брекеты “Mini Diamond” от американской компании Ormco являются одним из самых популярных и доступных по цене вариантов на рынке. Эти небольшие по размеру брекеты спроектированы таким образом, чтобы максимально удобно размещаться на зубах, при этом обеспечивая эффективное и аккуратное выравнивание. Коррекция проводится примерно раз в месяц, что делает процесс лечения не только эффективным, но и минимально заметным для окружающих. В совокупности с высоким качеством изготовления в США, “Mini Diamond” представляют собой отличный выбор для тех, кто мечтает о красивой улыбке без значительных финансовых затрат.
19800
р.
25000
р.
Металлические самолигирующие брекет системы H4 (OC Orthodontics США)
Самолигирующие брекет-системы H4 от OC Orthodontics (США) представляют собой передовое решение в области ортодонтии, которое сочетает в себе высокую эффективность и доступную стоимость. Эти инновационные брекеты разработаны таким образом, что позволяют осуществлять коррекцию зубного ряда с меньшей частотой посещений к специалисту – всего один раз в два месяца, что делает процесс лечения не только комфортнее для пациентов, но и экономит их время. Уникальная технология самолигирования избавляет от необходимости использования эластичных или металлических лигатур, благодаря чему уменьшается трение между брекетами и дугой, а это способствует быстрому и аккуратному перемещению зубов. При этом система H4 славится своим привлекательным дизайном – она ненавязчива и почти незаметна на зубах, что ценится большинством пациентов стремящихся сохранить эстетический вид улыбки в процессе лечения.
39900
р.
50000
р.
Металлические самолигирующие брекет системы Damon Q (Ormco США)
Самолигирующие брекеты системы Damon Q от известной американской компании Ormco – это настоящий прорыв в ортодонтии. Эта передовая технология позволяет проводить коррекцию зубного ряда с меньшим количеством посещений стоматолога, обычно раз в два месяца, что делает процесс лечения менее назойливым и более комфортным для пациентов. Система Damon Q использует уникальный механизм самозакрепления, который исключает необходимость в эластичных или металлических лигатурах, тем самым уменьшая трение и давление на зубы. Это способствует более быстрому перемещению зубов и сокращает общее время ношения брекетов. К тому же такие брекеты легче очищать, что помогает поддерживать оптимальную гигиену полости рта в течение всего курса лечения.
42000
р.
55000
р.
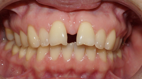
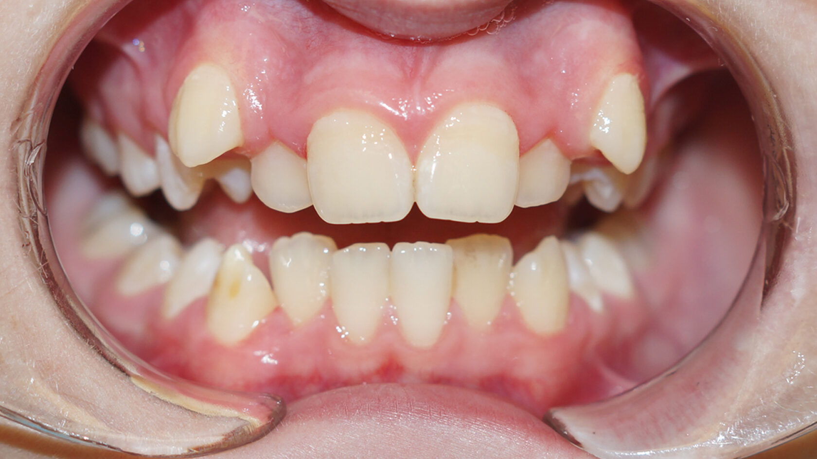
Пластины для детей до 12 лет.
Ортодонтические пластинки предназначены для решения проблем с развитием и выравниванием зубов и, как правило, выходят за рамки любой базовой гигиены полости рта. Эти корректирующие пластинки представляют собой специально разработанные, индивидуально изготовленные капы, которые помогают в коррекции и развитии зубов детей до 12 лет.
Поликомпозитные лигатурные эстетические брекет системы Hype
Эстетичность брекетов обеспечивается двумя основными особенностями – невидимостью на зубах благодаря прозрачности материала, из которых они изготовлены.
Керамические лигатурные эстетические брекет системы Symetri Clear
Эстетичность брекетов обеспечивается двумя основными особенностями – невидимостью на зубах благодаря прозрачности материала, из которых они изготовлены.
Керамические эстетические самолигирующие брекет системы Clear 21
Система Clear21 – это эстетическая самолигирующая система лечения прикуса, брекеты в которой изготовлены из керамики. Эта очень технологически точная система позволяет врачу контролировать положение зуба в трёх плоскостях. Она сопоставила с металлическими аналогами (например, с Damon) по скорости и превосходит иные эстетические системы по эффективности коррекции у взрослых пациентов.
Всё прозрачно и понятно
1
Консультация
Консультация врача ортодонта 200 рублей.
2
Диагностика
Компьютерная томограмма 2900 руб. Оттиски зубов и диагностика на моделях 4500 руб.
3
План лечения
Обсуждение и подписание плана лечения, сроков и стоимости полного курса лечения. Бесплатно.
4
Брекеты 1
Установка лигатурных брекетов на одну челюсть 19800 рублей.
5
Брекеты 2
Установка лигатурных брекетов на вторую челюсть 19800 рублей.
6
Коррекция
Коррекция двух челюстей один раз в месяц (лигатурные брекеты) или один раз в два месяца (самолигирующие брекеты) 4000 рублей.
7
Снятие брекетов
После полного курса лечения снятие брекетов 4000 рублей.
8
Выдача документов
Выдача документов для налоговой службы. Возврат от государства 13% от стоимости полного курса лечения.
Попова Валерия Павловна
Стаж работы с 2018 года. Более 20 сертификатов. Современные методы лечения. В своей работе использует только качественные брекет-системы сделанные в США.
Тюрина Ольга Олеговна
Стаж работы с 2021 года. Более 7 сертификатов. Современные методы лечения. В своей работе использует только качественные брекет-системы сделанные в США.
Медицинский центр "Стоматолог и Я" Воронеж
г.Воронеж ул.Моисеева, 37. Мы работаем с 2014 года. Телефон +7 (473) 202-07-97
С 2014 года наша стоматологическая клиника является верным помощником в создании идеальных улыбок для тысяч пациентов. За эти годы мы собрали команду высококвалифицированных ортодонтов, которые работают рука об руку, чтобы каждая установка брекетов была не только эффективной, но и как можно более комфортной для пациента. Мы гордимся тем, что предлагаем качественное лечение по приемлемым ценам, делая прекрасную улыбку доступной каждому. Множество благодарных отзывов подтверждают наш профессионализм и индивидуальный подход к желаниям и потребностям клиентов. Приходите к нам, и ваша улыбка засияет новой красотой!
ООО Медицинский центр "Стоматолог и Я"
ИНН 3664125517 КПП 366401001 ОГРН 1133668016910

Контакты

+7 (473) 202-07-97
г. Воронеж ул. Моисеева, 37
stomatologvrn@bk.ru